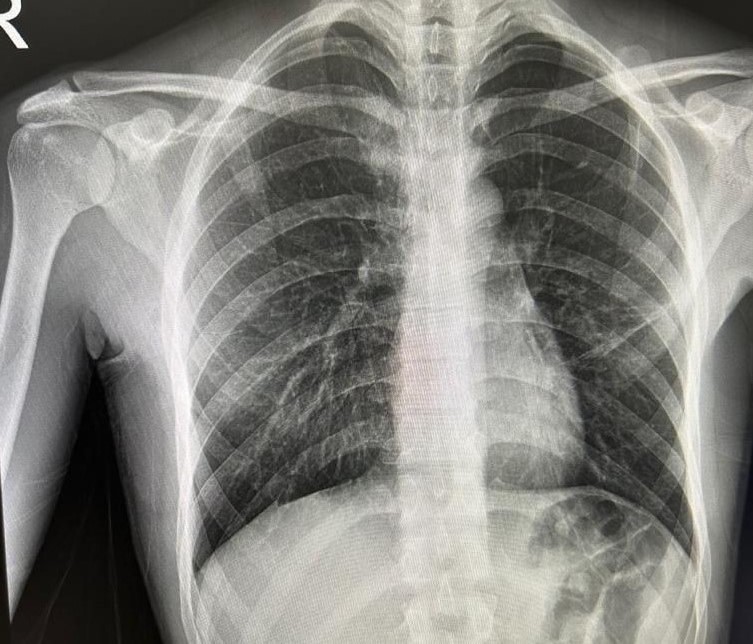
Bayburt'ta nefes darlığı şikayetiyle acil servise başvuran ve daha önce de spontan pnömotoraks (akciğer sönmesi) öyküsü bulunan bir hasta, Göğüs Cerrahisi Uzmanı Op. Dr. Halil Kolcu tarafından yapılan başarılı müdahaleyle sağlığına kavuştu.
Yeniden akciğer sönmesi tanısı konulan hastaya, Op. Dr. Halil Kolcu tarafından 3 santimetrelik tek kesiyle kapalı olarak cerrahi tedavi uygulandı. Bilinci açık ve uyanık bir şekilde işlem uygulanan hasta, başarılı geçen operasyonun ardından aynı gün içerisinde taburcu edildi. Yapılan cerrahi müdahale ile hastanın sağlığına kavuştuğu öğrenildi.
Antalya Altın Portakal Film Festivali geri sayımı başladı! Festivalin simgesi altın Venüs heykelleri, kentin en işlek noktalarına yerleştirildi. Antalya, sinema tutkunları ve sanatseverler için adeta bir açık hava galerisini andırıyor.
Cinsel fonksiyon bozuklukları, sanıldığından çok daha yaygın bir sağlık sorunu olarak hem kadınları hem erkekleri etkiliyor. Uzmanlar, fizyolojik ve psikolojik faktörlerin bu sorunun temelinde yer aldığını belirtiyor. Erken tanı ve doğru tedaviyle büyük ölçüde çözüm mümkün. İşte detaylar…
Türkiye A Milli Futbol Takımımız, 2026 FIFA Dünya Kupası Avrupa Elemeleri E Grubu’nda ilk sınavına çıkıyor. Gürcistan deplasmanıyla başlayacak serüvende futbolseverlerin gözü kulağı maçın saatinde ve yayın kanalında olacak. İşte 2025 milli takım maç takvimi ve Gürcistan-Türkiye karşılaşmasının tüm detayları.
Mersin’in Erdemli ilçesinde yer alan Elaiussa Sebaste Antik Kenti’nde 30. dönem kazı çalışmaları başladı. Kültür ve Turizm Bakanlığı’nın “Geleceğe Miras Projesi” kapsamında yıl boyunca sürecek kazılarda, Türk, Amerikan ve İtalyan ekipler ortaklaşa çalışacak. Antik kentte ortaya çıkarılan mozaikler ve mezarlar, bölgenin tarihî önemini bir kez daha gözler önüne seriyor.
İstanbul’da öğrenim gören Burdurlu üniversite öğrencileri, İstanbul Burdurlular Derneği’nin düzenlediği dondurma ve çay programında bir araya geldi. Etkinlikte iş insanlarıyla öğrenciler tanışma fırsatı bulurken, samimi bir dayanışma ortamı oluştu.
Antalya’nın Serik ilçesinde hasta taşıyan 112 ambulansı, yoğun trafikte ilerleyemedi. Araçların yol vermemesi nedeniyle dakikalarca beklemek zorunda kalan sağlık ekiplerinin mücadelesi cep telefonu kamerasıyla kaydedildi. Görüntüler, trafikteki duyarsızlığı bir kez daha gözler önüne serdi.
Yorumlar (0)