Burdur Devlet Hastanesi’nde Bir İlk: Karın Aort Anevrizması EVAR Yöntemiyle Başarıyla Tedavi Edildi
Burdur Devlet Hastanesi, önemli bir tıbbi başarıya daha imza attı. Kalp ve Damar Cerrahisi Uzmanı Dr. Tarık Taştekin ve ekibi tarafından 68 yaşındaki bir hastada, karın aort anevrizması (AAA) endovasküler yöntem (EVAR) kullanılarak başarıyla tedavi edildi. Bu operasyon, Burdur ilinde EVAR yöntemiyle gerçekleştirilen ilk vaka olması açısından büyük önem taşıyor.
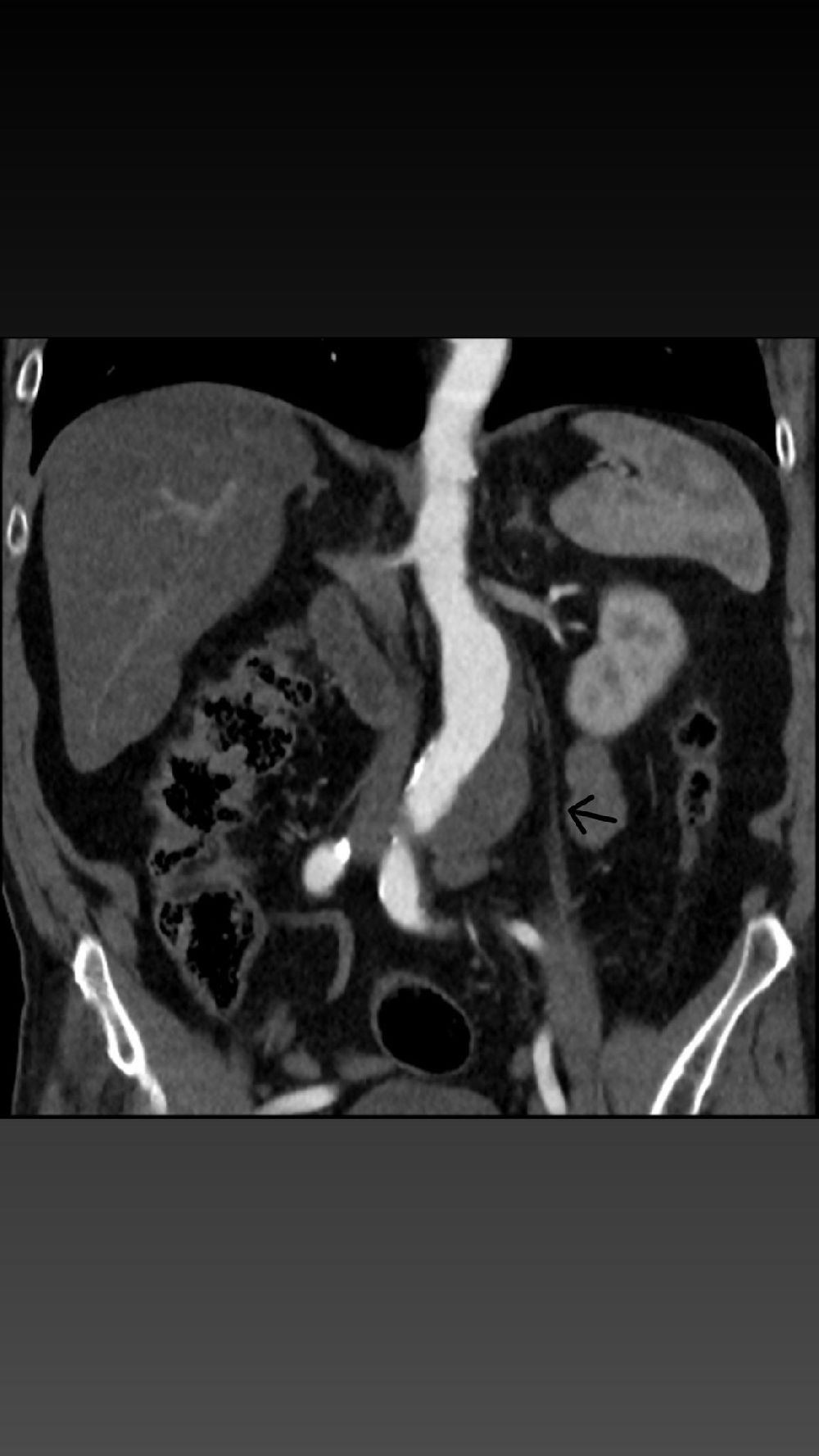
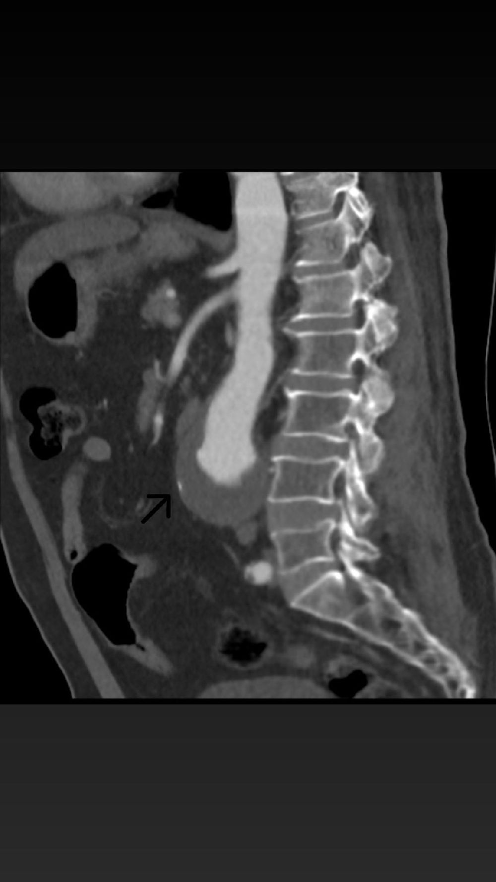
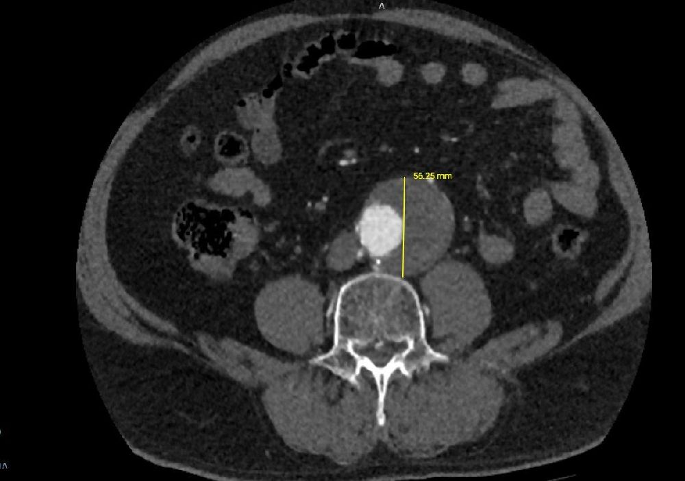
Karın aort anevrizması, vücudun en büyük atardamarı olan aortun karın bölgesindeki genişlemesiyle ortaya çıkan, ciddi ve hayati risk taşıyan bir hastalıktır. Kontrol altına alınmadığında damarın yırtılmasına (rüptür) neden olabilen bu durum, erken müdahale gerektiren kritik bir sağlık sorunudur. 68 yaşındaki hastanın yapılan tetkiklerinde, aort damarında 56 mm’ye ulaşan bir genişleme tespit edildi ve bu yüksek riskli tablo karşısında EVAR prosedürü uygulanmasına karar verildi.
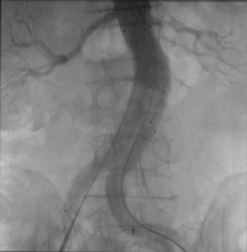
Operasyon, kasık bölgesinden yapılan küçük kesiler aracılığıyla minimal invaziv şekilde gerçekleştirildi. Genişleyen damar bölgesine özel bir greft kaplı stent yerleştirilerek anevrizmanın bulunduğu bölge izole edildi ve damarın normal akışı sağlandı. Bu yöntem sayesinde hastanın iyileşme süresi de açık cerrahiye göre daha hızlı ve konforlu hale geldi.
Bu başarılı operasyon, Burdur Devlet Hastanesi’nin ileri düzey cerrahi uygulamalardaki yetkinliğini ve teknik altyapısını bir kez daha gözler önüne serdi. Aynı zamanda, Burdur’daki hastaların bu tür ileri tedavilere erişmek için başka illere gitmek zorunda kalmadan kendi şehirlerinde güvenli ve modern sağlık hizmeti alabilmelerine olanak tanıyor.
Hastamıza acil şifalar diliyor, bu önemli başarıda emeği geçen hekimlerimizi ve tüm sağlık çalışanlarımızı kutluyoruz.



Antalya Altın Portakal Film Festivali geri sayımı başladı! Festivalin simgesi altın Venüs heykelleri, kentin en işlek noktalarına yerleştirildi. Antalya, sinema tutkunları ve sanatseverler için adeta bir açık hava galerisini andırıyor.
Cinsel fonksiyon bozuklukları, sanıldığından çok daha yaygın bir sağlık sorunu olarak hem kadınları hem erkekleri etkiliyor. Uzmanlar, fizyolojik ve psikolojik faktörlerin bu sorunun temelinde yer aldığını belirtiyor. Erken tanı ve doğru tedaviyle büyük ölçüde çözüm mümkün. İşte detaylar…
Türkiye A Milli Futbol Takımımız, 2026 FIFA Dünya Kupası Avrupa Elemeleri E Grubu’nda ilk sınavına çıkıyor. Gürcistan deplasmanıyla başlayacak serüvende futbolseverlerin gözü kulağı maçın saatinde ve yayın kanalında olacak. İşte 2025 milli takım maç takvimi ve Gürcistan-Türkiye karşılaşmasının tüm detayları.
Mersin’in Erdemli ilçesinde yer alan Elaiussa Sebaste Antik Kenti’nde 30. dönem kazı çalışmaları başladı. Kültür ve Turizm Bakanlığı’nın “Geleceğe Miras Projesi” kapsamında yıl boyunca sürecek kazılarda, Türk, Amerikan ve İtalyan ekipler ortaklaşa çalışacak. Antik kentte ortaya çıkarılan mozaikler ve mezarlar, bölgenin tarihî önemini bir kez daha gözler önüne seriyor.
İstanbul’da öğrenim gören Burdurlu üniversite öğrencileri, İstanbul Burdurlular Derneği’nin düzenlediği dondurma ve çay programında bir araya geldi. Etkinlikte iş insanlarıyla öğrenciler tanışma fırsatı bulurken, samimi bir dayanışma ortamı oluştu.
Antalya’nın Serik ilçesinde hasta taşıyan 112 ambulansı, yoğun trafikte ilerleyemedi. Araçların yol vermemesi nedeniyle dakikalarca beklemek zorunda kalan sağlık ekiplerinin mücadelesi cep telefonu kamerasıyla kaydedildi. Görüntüler, trafikteki duyarsızlığı bir kez daha gözler önüne serdi.
Yorumlar (0)