Van'da diş tedavisi sırasında implant vidası soluk borusuna kaçan hasta, başarılı müdahale sonucu sağlığına kavuştu.
Van'ın İpekyolu ilçesinde ikamet eden F.T. isimli hasta, dış merkezli bir diş kliniğinde implant tedavisi gördüğü sırada, implant vidası yanlışlıkla soluk borusuna kaçtı. Nefes borusuna kaçan vida nedeniyle hasta, ileri tetkik ve tedavi amacıyla Van Eğitim ve Araştırma Hastanesi'ne sevk edildi.
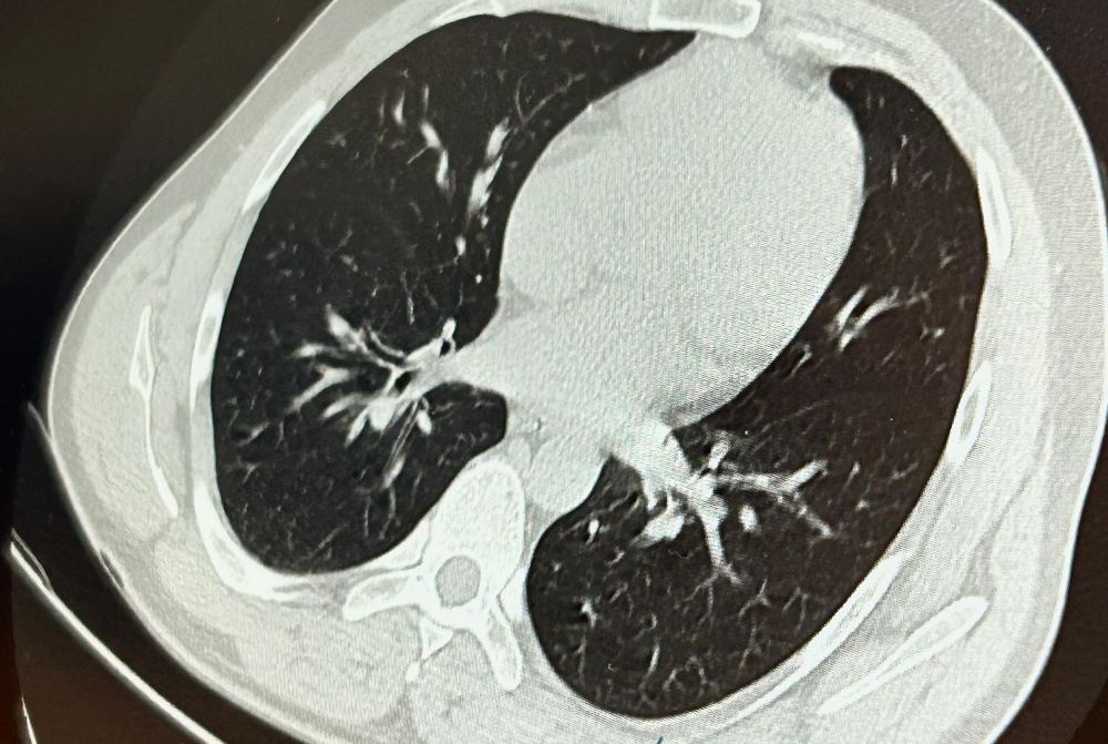
Göğüs Cerrahisi uzmanları Dr. Sadullah Aksoy ve Dr. Beniz İrem Ersoy Şığva tarafından hastaya bronkoskopi işlemi uygulandı. Sol akciğerin üst lobunda saplanmış şekilde tespit edilen vida, vidalı yapısı ve bulunduğu konum nedeniyle güçlükle yerinden oynatılabildi. Yapılan uzun ve titiz müdahale sonrası vida yerinden çıkarılamasa da hasta bir süre sonra geçirdiği öksürükle birlikte implant vidasını midesine gönderdi. Vida, daha sonra doğal yollarla vücuttan atıldı.
Konuya ilişkin konuşan Göğüs Cerrahi Op. Dr. Sadullah Aksoy, bir diş merkezinde diş tedavisi sırasında hastanın çenesine yerleştirilen implantın vida kısmının işlem esnasında yanlışlıkla aspire edildiğini belirtti. İlk olarak hastanenin ek hizmet binasında çekilen tomografi sonucunda, vidanın sol akciğerin hava yollarının yaklaşık dördüncü dalına kadar ilerlediği tespit edildiğini ifade eden Op. Dr. Aksoy, "Geçtiğimiz cumartesi günü öğle saatlerinde tarafımıza ulaşıldığında, hastanın Van Eğitim ve Araştırma Hastanesi'ne yönlendirilmesini istedik. Burada acil bronkoskopi planı yapılarak hasta kabul edildi. Hasta geldiğinde genel durumu iyiydi; solunumunu tamamen engelleyen bir bronş tıkanıklığı söz konusu değildi. Aynı gün hastamızı hazırladık. Bronkoskopi sırasında, implant vidasının sol üst lobun anterior segment bronşuna saplanmış pozisyonda olduğunu gördük. Üroloji bölümünde taş çıkarma işlemlerinde kullanılan cihazla müdahale ettik. İlk denemede implant tamamen çıkarılamadı ancak yerinden oynatılabildi. Bunun üzerine bir süre bekleyip hastayı yeniden bronkoskopi için hazırlamaya başladık. İşlem yaklaşık 3,5-4 saat sürdü ve saat 18.30 civarında hasta işlemden çıkarıldı" dedi.
Daha sonra hasta için yeniden bronkoskopi planladıklarını ancak bu süreçte hasta şiddetli bir öksürük geçirdiğini anlatan Aksoy, "Şiddetli öksürük sonrası yapılan kontrol akciğer filminde implant vidası görünmedi. Bunun üzerine toraks ve batın BT (bilgisayarlı tomografi) görüntülemesi istedik. Sonuçlarda implantın akciğerden çıktığı ve vücutta herhangi bir yerde bulunmadığı tespit edildi" diye konuştu.
Göğüs Cerrahi Op. Dr. Beniz İrem Ersoy Şığva ise merkezde ilk kez böylesi bir vakayla karşılaştıklarını ifade ederek, "Vidanın dişe özel ve vidalı yapıda olması, ayrıca bronşların küçük dallarına saplanması nedeniyle çıkarma işlemi beklenenden uzun sürdü. Ancak hasta takiplerinde herhangi bir komplikasyona rastlanmadı ve iyileşme süreci sorunsuz tamamlandı" şeklinde konuştu.





Antalya Altın Portakal Film Festivali geri sayımı başladı! Festivalin simgesi altın Venüs heykelleri, kentin en işlek noktalarına yerleştirildi. Antalya, sinema tutkunları ve sanatseverler için adeta bir açık hava galerisini andırıyor.
Cinsel fonksiyon bozuklukları, sanıldığından çok daha yaygın bir sağlık sorunu olarak hem kadınları hem erkekleri etkiliyor. Uzmanlar, fizyolojik ve psikolojik faktörlerin bu sorunun temelinde yer aldığını belirtiyor. Erken tanı ve doğru tedaviyle büyük ölçüde çözüm mümkün. İşte detaylar…
Türkiye A Milli Futbol Takımımız, 2026 FIFA Dünya Kupası Avrupa Elemeleri E Grubu’nda ilk sınavına çıkıyor. Gürcistan deplasmanıyla başlayacak serüvende futbolseverlerin gözü kulağı maçın saatinde ve yayın kanalında olacak. İşte 2025 milli takım maç takvimi ve Gürcistan-Türkiye karşılaşmasının tüm detayları.
Mersin’in Erdemli ilçesinde yer alan Elaiussa Sebaste Antik Kenti’nde 30. dönem kazı çalışmaları başladı. Kültür ve Turizm Bakanlığı’nın “Geleceğe Miras Projesi” kapsamında yıl boyunca sürecek kazılarda, Türk, Amerikan ve İtalyan ekipler ortaklaşa çalışacak. Antik kentte ortaya çıkarılan mozaikler ve mezarlar, bölgenin tarihî önemini bir kez daha gözler önüne seriyor.
İstanbul’da öğrenim gören Burdurlu üniversite öğrencileri, İstanbul Burdurlular Derneği’nin düzenlediği dondurma ve çay programında bir araya geldi. Etkinlikte iş insanlarıyla öğrenciler tanışma fırsatı bulurken, samimi bir dayanışma ortamı oluştu.
Antalya’nın Serik ilçesinde hasta taşıyan 112 ambulansı, yoğun trafikte ilerleyemedi. Araçların yol vermemesi nedeniyle dakikalarca beklemek zorunda kalan sağlık ekiplerinin mücadelesi cep telefonu kamerasıyla kaydedildi. Görüntüler, trafikteki duyarsızlığı bir kez daha gözler önüne serdi.
Yorumlar (0)