Kayseri’de jandarma ekipleri tarafından düzenlenen operasyonda kente mide ve bağırsaklarında uyuşturucu madde sokmaya çalışan 3 şüpheli yakalandı.
Edinilen bilgiye göre, İl Jandarma Komutanlığı ekipleri tarafından yapılan çalışmalarda, yabancı uyruklu A.O., M.S. ve P.S.’nin İran’dan temin ettikleri uyuşturucu maddeleri ağızdan yutmak suretiyle mide ve bağırsaklarında gizleyerek kente getireceklerini tespit etti. Şahısların bulunduğu aracı takibe alan ekipler Ankara yolunda aracı durdurdu. Şahıslar gözaltına alınırken, yapılan üst ve eşya aramalarında 20 gram uyuşturucu madde ve 117 adet uyuşturucu hap ele geçirildi.
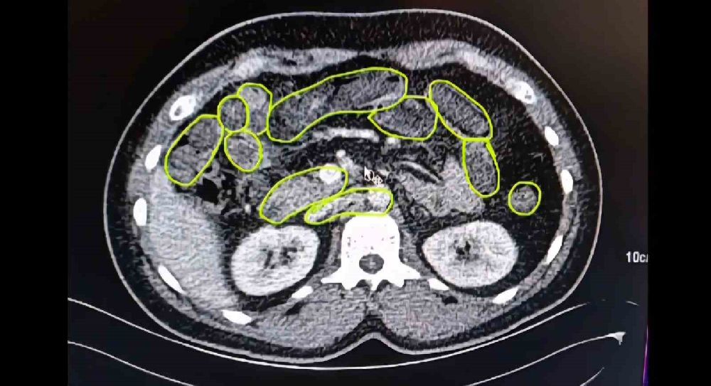
Şüphelilerin Kayseri Şehir Hastanesinde iç beden muayenesine alınırken, mide ve bağırsaklarında da çok miktarda kapsül şeklinde uyuşturucu olduğu değerlendirilen yabancı maddeler tespit edildi.
Kayseri Valisi Gökmen Çiçek de jandarma ekiplerini kutlayarak, "Kayseri İl Jandarma Komutanlığımız, gençlerimizi zehirlemek isteyen alçaklara yine fırsat vermedi, vermeyecek. Şehrimize uyuşturucu sokmak isteyen alçaklar, Başsavcılığımızın koordinesinde jandarmamızın titiz takibiyle ellerindeki uyuşturucu ile kıskıvrak yakalandı. Ellerinde yakalanan uyuşturucuyu midelerinde de getirmeye çalıştılar. Her yolu deniyorlar. Hangi yolu denerseniz deneyin kaçamayacaksınız, başaramayacaksınız. Bu şehirde uyuşturucu satamayacaksınız" dedi.





Antalya Altın Portakal Film Festivali geri sayımı başladı! Festivalin simgesi altın Venüs heykelleri, kentin en işlek noktalarına yerleştirildi. Antalya, sinema tutkunları ve sanatseverler için adeta bir açık hava galerisini andırıyor.
Cinsel fonksiyon bozuklukları, sanıldığından çok daha yaygın bir sağlık sorunu olarak hem kadınları hem erkekleri etkiliyor. Uzmanlar, fizyolojik ve psikolojik faktörlerin bu sorunun temelinde yer aldığını belirtiyor. Erken tanı ve doğru tedaviyle büyük ölçüde çözüm mümkün. İşte detaylar…
Türkiye A Milli Futbol Takımımız, 2026 FIFA Dünya Kupası Avrupa Elemeleri E Grubu’nda ilk sınavına çıkıyor. Gürcistan deplasmanıyla başlayacak serüvende futbolseverlerin gözü kulağı maçın saatinde ve yayın kanalında olacak. İşte 2025 milli takım maç takvimi ve Gürcistan-Türkiye karşılaşmasının tüm detayları.
Mersin’in Erdemli ilçesinde yer alan Elaiussa Sebaste Antik Kenti’nde 30. dönem kazı çalışmaları başladı. Kültür ve Turizm Bakanlığı’nın “Geleceğe Miras Projesi” kapsamında yıl boyunca sürecek kazılarda, Türk, Amerikan ve İtalyan ekipler ortaklaşa çalışacak. Antik kentte ortaya çıkarılan mozaikler ve mezarlar, bölgenin tarihî önemini bir kez daha gözler önüne seriyor.
İstanbul’da öğrenim gören Burdurlu üniversite öğrencileri, İstanbul Burdurlular Derneği’nin düzenlediği dondurma ve çay programında bir araya geldi. Etkinlikte iş insanlarıyla öğrenciler tanışma fırsatı bulurken, samimi bir dayanışma ortamı oluştu.
Antalya’nın Serik ilçesinde hasta taşıyan 112 ambulansı, yoğun trafikte ilerleyemedi. Araçların yol vermemesi nedeniyle dakikalarca beklemek zorunda kalan sağlık ekiplerinin mücadelesi cep telefonu kamerasıyla kaydedildi. Görüntüler, trafikteki duyarsızlığı bir kez daha gözler önüne serdi.
Yorumlar (0)